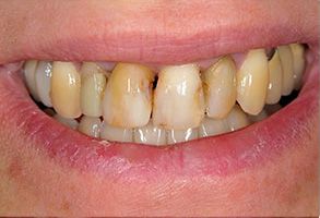
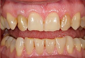
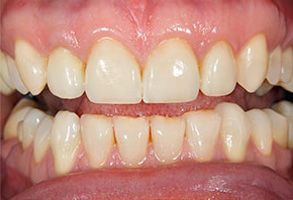
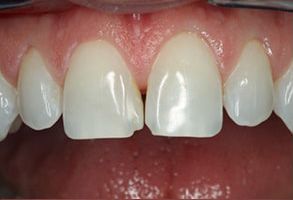
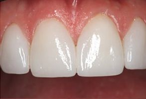
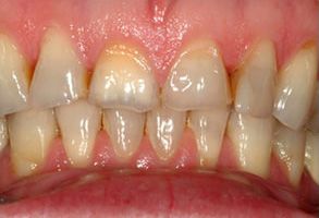
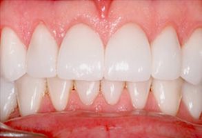
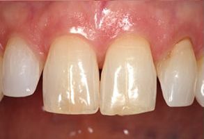
General & Cosmetic Dentistry
The office of Keith A. Kye, DDS, FAGD serves the neighborhoods of Huntersville, Lake Norman, Davidson and Cornelius.

















The office of Keith A. Kye, DDS, FAGD serves the neighborhoods of Huntersville, Lake Norman, Davidson and Cornelius.